Erfolgreicher-Einsatz-von-Panitumumab-trotz Erfolgreicher-Einsatz-von-Panitumumab-trotz

Patientenfall von Dr. Nikolina Witwer, LKH Hohenems, Innere Medizin

Dr. Witwer
Foto Credit: Carmen Mayer

Anamnese

Im Dezember 2022 wurde eine bis dato gesunde 54-jährigen Patientin zur Abklärung einer Hämatochezie an unsere Abteilung zugwiesen.
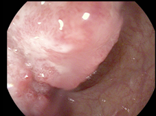
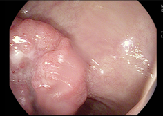
Als Ursache für die Blutung zeigten sich zwei Rektumkarzinome, eines im mittleren Rektumdrittel, das zweite am rektosigmoidalen Übergang.
Anamnese-1 Anamnese-2
Zum Zeitpunkt der Diagnosestellung wurde ebenfalls eine disseminierte, nicht resektable Lebermetastasierung festgestellt.
Somit wurden (nach molekularpathologischer Aufarbeitung) folgende Stadien für die beiden Tumore festgelegt:
Synchrone Adenokarzinome des Rektums bzw. rektosigmoidalen Überganges:
  • Rektum: 5cm ab ano, cT3 cN2 cM1 (hep) UICC IVa,
  • Rektosigmoidal: cT3 cN2 cM1 (hep) UICC IVa,
  • Molekulares Profil (der Primaria im Darm): MSS, Her2neg, KRAS/NRAS/BRAF: WT

Prozedere:

Nach Beginn einer systemischen Chemotherapie nach dem modifiziertem FOLFOX6 Schema in Kombination mit Panitumumab wurde im interdisziplinären Tumorboard der Wechsel auf eine Chemotherapie-Triplette + anti-EGFR-Antikörper mit dem Ziel einer bestmöglichen Metastasenverkleinerung und Erreichen einer technischen Operabilität beschlossen. Die Entscheidung basierte zu diesem Zeitpunkt auf den Daten der Phase II VOLFI-Studie. Sie zeigte unter Chemotherapie-Triplette + Panitumumab hohe Remissionsraten und konsekutiv verbesserte Resektionsraten. Eine Verbesserung des Gesamtüberlebens wurde jedoch nicht gezeigt.1

Verlauf:

Im März 2023 konnte nach zwei Zyklen (= vier Gaben) FOLFOXIRI + Panitumumab erfreulicherweise eine partielle Remission erzielt werden. Wiederum erfolgte die Diskussion des Falles und Sichtung der aktuellen Bildgebung im interdisziplinären Tumorboard, wo eine partielle Hemihepatektomie rechts und RFA links, gefolgt von einer weiteren Systemtherapie für zwei Monate beschlossen wurde.
Intraoperativ musste der geplante Eingriff jedoch aufgrund des makroskopischen Verdachtes auf eine „blue liver“ abgebrochen werden. Lediglich die Gallenblase, eine Lebermetastase und ein Lymphknoten im Leberhilus wurden entfernt.

Exkurs: blue liver

Beim „Blue liver Syndrom“ (Oxaliplatin-induziertes sinusoidales Obstruktionssyndrom) liegt eine Chemotherapie-assoziierte, sinusoidale Obstruktion (SOS) der Leber vor, die zu einem Ödem und in weiterer Folge auch zu zentrolobulären Nekrosen und Atrophie führen kann. Die spongiforme Leberkonsistenz führt zu einer makroskopisch bläulichen Verfärbung der Leber.2,3
„Blue liver
Bei anhaltender Schädigung durch Oxaliplatin kann es in schweren Fällen zu einer nodulär-regenerativen Hyperplasie kommen, welche letztendlich eine portale Hypertension ohne Zirrhose oder erhöhte Leberfunktionsparameter zur Folge hat.2,3
Risikofaktoren für die Entwicklung eines Blue liver Syndroms sind die kumulative Platindosis, vorbestehende Lebererkrankungen, allen voran die MASLD (Metabolic Dysfunction-Associated Steatotic Liver Disease) und eine bei Behandlungsbeginn bestehende Splenomegalie.
Für eine frühzeitige Detektion eines Chemotherapie-induzierten Leberschadens eignet sich klinisch vor allem das Monitoring der Milz mit frühzeitigem Erkennen einer neuauftretenden/aggravierten Splenomegalie, sowie die Thrombopenie (welche allerdings auch differentialdiagnostisch auf die CTX-induzierte Knochenmarkstoxizität zurückgeführt werden kann).

Weiterer Verlauf:

Bei unserer Patientin ließ sich histologisch in der zusätzlich durchgeführten Leberbiopsie kein Leberschaden nachweisen. Die Systemtherapie wurde zwischenzeitlich mit FOLFIRI + Panitumumab (80%) durchgeführt.
Nach drei Zyklen (=6 Gaben) zeigte sich bildgebend eine partielle Remission. Somit wurde im August 2023 eine simultane Resektion der Rektumkarzinome sowie eine links laterale Wedge-Resektion der Leber durchgeführt. Zwei Monate später erfolgte ergänzend noch die stereotaktische Radiofrequenzablation einer Metastase im rechten Leberlappen.
Bildgebend zeigte sich im November 2023 ein neuaufgetretener Lungenrundherd, der stereotaktisch bestrahlt und additiv mit FOLFIRI behandelt wurde.
Im Mai 2024 kam es zu einem Progress mit sechs neuen Lebermetastasen, einer peritonealen Absiedelung im kleinen Becken und pulmonalen Metastasen.
Somit musste der kurative Therapieansatz definitiv auf ein palliatives Vorgehen umgestellt werden. FOLFIRI + Panitumumab wurde re-Induziert, worunter sich zunächst wiederum ein gutes Ansprechen zeigte. Nach 8 Monaten kam es zu einem neuerlichen Fortschreiten der Erkrankung, woraufhin die Therapie auf ein modifiziertes FOLFOX6 Schema + Bevacizumab umgestellt wurde.
Seit nunmehr 12 Monaten zeigt sich die Patientin unter dieser Therapie, welche aufgrund einer Polyneuropathie CTCAE II-III° dosisreduziert werden musste, stabil. Zudem erfolgten auf Wunsch der Patientin mehrfache, 1-2 Monate dauernde Therapiepausen im Sinne von Drug-holidays.
1 2 3

Frage 1: Welcher Antikörper kann in der adjuvanten Therapie bei Kolorektalkarzinomen eingesetzt werden?

Bitte bestätigen Sie Ihre Antwort

Frage 2: Was ist die Konversionstherapie der Wahl eines Stadium IV Kolorektalkarzinomes mit potentiell resektablen Metastasen analog den aktuellen Leitlinien (01/2026)?

Bitte bestätigen Sie Ihre Antwort

Frage 3: Welche antitumorale Therapie ist nicht lebertoxisch?

Bitte bestätigen Sie Ihre Antwort
Fragen
Ihr Punktestand:

Ihre Bewertung:

richtige Antwort(en) von Fragen

Vielen Dank für Ihre Teilnahme am Quiz.

  • Literatur:
    1. Modest DP, Martens UM, Riera-Knorrenschild J, Greeve J, Florschütz A, Wessendorf S, Ettrich T, Kanzler S, Nörenberg D, Ricke J, Seidensticker M, Held S, Buechner-Steudel P, Atzpodien J, Heinemann V, Seufferlein T, Tannapfel A, Reinacher-Schick AC, Geissler M. FOLFOXIRI Plus Panitumumab As First-Line Treatment of RAS Wild-Type Metastatic Colorectal Cancer: The Randomized, Open-Label, Phase II VOLFI Study (AIO KRK0109). J Clin Oncol. 2019 Dec 10;37(35):3401-3411. doi: 10.1200/JCO.19.01340. Epub 2019 Oct 14. PMID: 31609637. https://pubmed.ncbi.nlm.nih.gov/31609637/
    2. Takemoto K, Ko S, Atagi K. Blue Liver. Am J Med Sci. 2024 Oct;368(4):e43. doi: 10.1016/j.amjms.2024.04.013. Epub 2024 Apr 18. PMID: 38642713. https://pubmed.ncbi.nlm.nih.gov/38642713/
    3. Calistri L, Rastrelli V, Nardi C, Maraghelli D, Vidali S, Pietragalla M, Colagrande S. Imaging of the chemotherapy-induced hepatic damage: Yellow liver, blue liver, and pseudocirrhosis. World J Gastroenterol. 2021 Dec 14;27(46):7866-7893. doi: 10.3748/wjg.v27.i46.7866. PMID: 35046618; PMCID: PMC8678821. https://pubmed.ncbi.nlm.nih.gov/35046618/
    4. Puente A, Fortea JI, Del Pozo C, Serrano M, Alonso-Peña M, Giráldez A, Tellez L, Martinez J, Magaz M, Ibañez L, Garcia J, Llop E, Alvarez-Navascues C, Romero M, Rodriguez E, Arias Loste MT, Antón A, Echavarria V, López C, Albillos A, Hernández-Gea V, Garcia-Pagán JC, Bañares R, Crespo J; by REHEVASC group. Clinical and genetic factors involved in Porto-sinusoidal vascular disorder after oxaliplatin exposure. Dig Liver Dis. 2024 Oct;56(10):1721-1729. doi: 10.1016/j.dld.2024.04.010. Epub 2024 May 7. PMID: 38719628. https://pubmed.ncbi.nlm.nih.gov/38719628/
    5. https://www.onkopedia.com/de/onkopedia/guidelines/kolonkarzinom/@@guideline/html/index.html#ID0EYEAG